[Once again I thought I had posted this and I saved it instead.]
We headed down to Salt Lake this past weekend to meet with Adams surgeon. Overall the appointment went great. Dr Skarda was really happy with how well he is thriving and his weight gain. Weighing in at 9lbs 3oz.
He was a little surprised he was on oxygen, and balked at the 1/8th of a liter he is on. He showed all of his colleagues the CT scans and they have agreed this is the largest growth they have seen.
I even got to see the CT scan from when he was born. I could not believe how big this growth really is. It takes up at least 1/3rd of his chest.
Then we got blind sided when he said they have also decided to do the surgery within the next month.
........ (Bill and I trying to process)
With how well he has grown and the risk of Adam getting sick they want to take it out sooner than later.
Right now we have an appointment on the 4th to get a chest x-ray and to finalize the details on the surgery.
Updates to come...
Saturday, December 31, 2011
Wednesday, December 14, 2011
1 month!
[sorry I forgot to post this when I wrote it.]
We (James and I) took Adam in for his weight check last week.
At 1 month he finally passed his birth weight and weighed in at 8lbs 6 oz.
He is growing and doing great. We go back in to see the surgeon in a month, hopefully he will be right where they want him to be.
We (James and I) took Adam in for his weight check last week.
At 1 month he finally passed his birth weight and weighed in at 8lbs 6 oz.
He is growing and doing great. We go back in to see the surgeon in a month, hopefully he will be right where they want him to be.
Monday, December 5, 2011
Adam Bradley Fritsch
Adam made his appearance on November 8th at 10:17 am. He was born at the University of Utah in Salt Lake City by Dr. Janice Byrne.
When they pulled him out, Bill only saw a flash of him because he had not taken a breath yet. But as they passed him through the window into the NICU he gave a soft little cry that put everyone a little more at ease.
Once the assessment was finished by the NICU team, Bill was able to go back into the NICU to be with Adam and get the run down on how he was doing.
I on the other hand got sewn up and headed back to the recovery room where both moms and grandma Jackman were waiting for news. I don't remember much about the recovery room but here is what I do remember:
Feeling the medicine go up my arm every time they took my blood pressure (apparently it was a little too low)
Laying there, listening to what was going on and wondering why the monitor alarms were going off. Then the nurse would come shake me and tell me to breathe.
Scratching at everything especially my nose. I hate the medication wearing off.
Mindi came in and joined us.
Asking how Adam was and the nurses not knowing. Then finally one came in and said he was doing well. On oxygen but breathing on his own.
Finding out he was 8lbs and being delightfully surprised.
Being wheeled down to the NICU with Mindi so I could see Bill and Adam.
It was hard to see him with the oxygen tubes, the monitor wires and the IV in his head, but I knew it could have been so much worse.
What was funny to see was how big he was, especially for the NICU. He dwarfed the other babies.
There is a lot more to this story, but for right now I have run out of computer time. I will post more a little later.



When they pulled him out, Bill only saw a flash of him because he had not taken a breath yet. But as they passed him through the window into the NICU he gave a soft little cry that put everyone a little more at ease.
Once the assessment was finished by the NICU team, Bill was able to go back into the NICU to be with Adam and get the run down on how he was doing.
I on the other hand got sewn up and headed back to the recovery room where both moms and grandma Jackman were waiting for news. I don't remember much about the recovery room but here is what I do remember:
Feeling the medicine go up my arm every time they took my blood pressure (apparently it was a little too low)
Laying there, listening to what was going on and wondering why the monitor alarms were going off. Then the nurse would come shake me and tell me to breathe.
Scratching at everything especially my nose. I hate the medication wearing off.
Mindi came in and joined us.
Asking how Adam was and the nurses not knowing. Then finally one came in and said he was doing well. On oxygen but breathing on his own.
Finding out he was 8lbs and being delightfully surprised.
Being wheeled down to the NICU with Mindi so I could see Bill and Adam.
It was hard to see him with the oxygen tubes, the monitor wires and the IV in his head, but I knew it could have been so much worse.
What was funny to see was how big he was, especially for the NICU. He dwarfed the other babies.
There is a lot more to this story, but for right now I have run out of computer time. I will post more a little later.
Saturday, November 19, 2011
Soon I promise!
I know I've been horrible at keeping this updated the last little bit. I promise I will update with pictures of Adam as soon as I can make time for the computer.
Friday, October 28, 2011
Update...
I have to first start by apologizing about not keeping this up to date like I said I would.
I send the texts, post on Facebook, and forget to update the blog.
As you can imagine, Adam is still cooking despite his attempts to make an early appearance.
Yesterdays appointments were interesting. But let me back up.
Let's just say it has been a week and leave it at that.
Adam is still doing great and getting bigger. They moved measurements to next week so it will be closer to the delivery on the 8th.
We were monitored on thursday for most of the day with (again) a possible outlook of delivery since the contractions were so close and erratic. However they got slammed with patients and since my contractions don't make me dilate they sent me home with restrictions and to be uncomfortable there instead.
So I'm still here with consistent contractions, pain and the urge to throw up. As long as I keep up on the meds things are a little better.
I'm good with him coming any other day but today so I won't be doing anything but laying on the couch.
Happy Halloween!
I send the texts, post on Facebook, and forget to update the blog.
As you can imagine, Adam is still cooking despite his attempts to make an early appearance.
Yesterdays appointments were interesting. But let me back up.
Let's just say it has been a week and leave it at that.
Adam is still doing great and getting bigger. They moved measurements to next week so it will be closer to the delivery on the 8th.
We were monitored on thursday for most of the day with (again) a possible outlook of delivery since the contractions were so close and erratic. However they got slammed with patients and since my contractions don't make me dilate they sent me home with restrictions and to be uncomfortable there instead.
So I'm still here with consistent contractions, pain and the urge to throw up. As long as I keep up on the meds things are a little better.
I'm good with him coming any other day but today so I won't be doing anything but laying on the couch.
Happy Halloween!
Saturday, October 8, 2011
This last week it was Harvest Break in Idaho. That meant Ethan was out of school for the entire week and got to spend it down here with James and me.
Luckily I was feeling really good this week so we were able to do a couple things throughout the week.
On Tuesday I took him to the barns that my sisters friend keeps her horses so he could finally ride one. He had a great time and talked all the way home about how much fun it was.

Luckily I was feeling really good this week so we were able to do a couple things throughout the week.
On Tuesday I took him to the barns that my sisters friend keeps her horses so he could finally ride one. He had a great time and talked all the way home about how much fun it was.
Friday, October 7, 2011
34 weeks and still counting
Appointments went great yesterday.
NST showed a great heart beat and consistent contractions.
Ultrasounds showed the C-Pam still measuring the same as before, which is still good news and no hydrops anywhere. It also showed how big Adam (yup, we decided on a name) is getting. Right now he is measuring between 35w2d and 38w (Yes the 38w is his head size). His average measurements showed him at 36 weeks. His estimated weight is 6lbs 8oz with a 1 lb variance.
Needless to say he is growing and is healthy.
We have now passed the pediatric surgeons goal of 5lbs and only have a few more days to hit their goal of 35 weeks.
As for me, same ol' same ol'. Watch contractions and take it easy.
Thank you again to all those who keep us in your prayers. We have been so blessed.
NST showed a great heart beat and consistent contractions.
Ultrasounds showed the C-Pam still measuring the same as before, which is still good news and no hydrops anywhere. It also showed how big Adam (yup, we decided on a name) is getting. Right now he is measuring between 35w2d and 38w (Yes the 38w is his head size). His average measurements showed him at 36 weeks. His estimated weight is 6lbs 8oz with a 1 lb variance.
Needless to say he is growing and is healthy.
We have now passed the pediatric surgeons goal of 5lbs and only have a few more days to hit their goal of 35 weeks.
As for me, same ol' same ol'. Watch contractions and take it easy.
Thank you again to all those who keep us in your prayers. We have been so blessed.
Friday, September 30, 2011
Baby update
Well, I'm officially in Utah for the duration of the pregnancy. Yeah, yeah I know I was supposed to be 2 weeks ago, but last week the I was able to go home for about 5 days. Yes, I did ask permission first. My dr said as long as my contractions were alright then I could make the decision but she didn't want to know.
Knowing that this would probably be the last chance I got to go home, I took advantage of it and went home.
It was great to be home with Bill and Ethan for a few more days. I think I needed a little more time to be alright with staying in Utah. This time, coming down was very different. I'm okay with being here and know it is in the best interest of me and the babe.
It also helps that I have Ethan for the next week due to the Harvest break.
Had my appointments today and all is going well.
He cooperated this morning with all the testing so they were able to get good shots in the ultrasound and the NST test only took 20 min, which is the regular amount of time.
His heart looks great, no hydrops anywhere, the c-pam is staying the same size. However it is getting harder to measure it as he is getting bigger. He decided to move into a transverse position instead of being head down, which is fine since he has a swimming pool to move around in.
Everything looks the same for me, keep monitoring contractions and baby movement.
Because all the appointments were on time I was able to go over into the NICU and take a tour. It was nice to be able to see where he will be and what will take place. When they tell you that they will take the babe (once born) and pass him through a window into the NICU to be assessed they aren't kidding. It looked like a nice drive through window, with the surgical room on one side and the NICU on the other.
I was able to meet two of the nurses and I have one more that I need to meet. She happens to be neighbors with my sister-in-law, but took a shift over in delivery when I was there. It will be nice to at least recognize some of the staff while we are there.
Here's to another week of growing!
I have pictures from the ultrasound that I will post as soon as I can get them scanned.
Knowing that this would probably be the last chance I got to go home, I took advantage of it and went home.
It was great to be home with Bill and Ethan for a few more days. I think I needed a little more time to be alright with staying in Utah. This time, coming down was very different. I'm okay with being here and know it is in the best interest of me and the babe.
It also helps that I have Ethan for the next week due to the Harvest break.
Had my appointments today and all is going well.
He cooperated this morning with all the testing so they were able to get good shots in the ultrasound and the NST test only took 20 min, which is the regular amount of time.
His heart looks great, no hydrops anywhere, the c-pam is staying the same size. However it is getting harder to measure it as he is getting bigger. He decided to move into a transverse position instead of being head down, which is fine since he has a swimming pool to move around in.
Everything looks the same for me, keep monitoring contractions and baby movement.
Because all the appointments were on time I was able to go over into the NICU and take a tour. It was nice to be able to see where he will be and what will take place. When they tell you that they will take the babe (once born) and pass him through a window into the NICU to be assessed they aren't kidding. It looked like a nice drive through window, with the surgical room on one side and the NICU on the other.
I was able to meet two of the nurses and I have one more that I need to meet. She happens to be neighbors with my sister-in-law, but took a shift over in delivery when I was there. It will be nice to at least recognize some of the staff while we are there.
Here's to another week of growing!
I have pictures from the ultrasound that I will post as soon as I can get them scanned.
Tuesday, September 6, 2011
a slight change in wheels
Since one or both of us will be heading to Utah every other week until after the lil' guy is born we decided it was a good time to do some swapping on the automotive side.
Unfortunately that meant selling our truck.
We have had this truck for 6 years and it has been wonderful, but we really needed something with a little less gas consumption. I stayed down in Utah for a week to see what I could find that would work for us.. Do you know how hard it is to find a car that will fit 3 car seats in the back seat??? And I mean a booster seat (the smallest one manufactured according to Walmart) James' car set and a infant carrier. You wouldn't think it would be that hard, but oh no! it is! 2 days and several cars later we had only found one option. Luckily for us there was one available.
With out further adieu.. Our new 2006 Ford Five Hundred
We have had this truck for 6 years and it has been wonderful, but we really needed something with a little less gas consumption. I stayed down in Utah for a week to see what I could find that would work for us.. Do you know how hard it is to find a car that will fit 3 car seats in the back seat??? And I mean a booster seat (the smallest one manufactured according to Walmart) James' car set and a infant carrier. You wouldn't think it would be that hard, but oh no! it is! 2 days and several cars later we had only found one option. Luckily for us there was one available.
With out further adieu.. Our new 2006 Ford Five Hundred
Update
Here are the happenings of the past 2 weeks..
My appointment last Monday in Utah went great. The c-pam has stopped growing, it is the same size it was 3 weeks ago. This means so much is the same but so much is beginning to change. As he continues to grow, the growth will start to give more room for all his insides including his right lung and his esophagus. Which means he will be able to swallow more fluid. My fluid level has also stayed the same which means he is definitely getting more fluid circulating through his little body.
Last Friday I ended up at EIRMC (er-mac) the hospital in Idaho Falls. But first let me give you the chronological order of how things went; Thursday night I came home from a baby shower and blamed Bill for giving me his back pain. I laid on the floor and tried to stretch it any way I could think of. It felt a little better and I fell asleep on the couch. Woke up to a jolt of pain in my back and decided it was time to go into bed. Several jolts later I was laying there thinking "Hmm... I wonder if this could be back labor.." Then fell back to sleep. Woke up late, rushed around getting the boys, mainly Ethan, ready. Made it to the bus stop with just a min to spare. Cleaned up breakfast thinking "man I wish I could stretch my back out.. this hurts" then sat on the couch and relaxed as my contractions were getting a little too frequent. Once they slowed down James and I headed out to the post office. On my way I thought maybe I should call the nurse and see what the difference is between back pain and back labor. The nurse was great and wanted to rule out any type of infection before making me drive all the way to Idaho Falls to be seen, so off we went to the clinic in Driggs. At this point my back was really hurting. I'm sure it didn't help that I had a 25 lb 18 mo old sleeping on my shoulder, but whats a mom to do? In the clinic my blood pressure was high 140/100 and my test came back negative for any type of infection, however it did show protein and glucose. Tess, the doctor I saw, came in and said" I'm sorry you don't have an infection, we are sending you to Idaho Falls to see your OB." How often do you hear a Dr say "Sorry you don't have an infection!" Back to the story, I call Bill and let him know what they said. He met me at home ready to head down. An hour later we were at my OB's office. The pain in my back was blaring at this point. It obviously showed on my face because one of the front staff checked me in and put us in a room. Then she went and told the nurse I looked like I was in labor so she put us in a room. HA!! The PA came in and went through all the normal stuff. Tested me again to make sure there wasn't any blood in my urine, in case of kidney stones. There wasn't, so she checked to make sure I wasn't dilating and they sent us on our way to Labor and Delivery for some meds. The Labor and Delivery nurse was awesome. The pain on the other hand was excruciating. I couldn't even stand up straight. After they got the monitors on and called my OB to see what she wanted them to do. She came back in with a shot and an IV. She said they hadn't received the orders yet but my contractions were about 4 min apart so they were giving me the meds right then. Luckily it worked and they all but went away. They let us go after I drained my IV bag and had only had 2 contractions in 1.5 hours. The pain in my back was back to what it had felt like the night before and I was able to ride home in a little more comfort. By Saturday evening I didn't have any pain in my back. For those of you that have had back labor I'm so so sorry and I empathize with you. I would never wish that upon anyone.
We go in on Thursday for the next ultrasound. I will have an update hopefully by the weekend.
My appointment last Monday in Utah went great. The c-pam has stopped growing, it is the same size it was 3 weeks ago. This means so much is the same but so much is beginning to change. As he continues to grow, the growth will start to give more room for all his insides including his right lung and his esophagus. Which means he will be able to swallow more fluid. My fluid level has also stayed the same which means he is definitely getting more fluid circulating through his little body.
Last Friday I ended up at EIRMC (er-mac) the hospital in Idaho Falls. But first let me give you the chronological order of how things went; Thursday night I came home from a baby shower and blamed Bill for giving me his back pain. I laid on the floor and tried to stretch it any way I could think of. It felt a little better and I fell asleep on the couch. Woke up to a jolt of pain in my back and decided it was time to go into bed. Several jolts later I was laying there thinking "Hmm... I wonder if this could be back labor.." Then fell back to sleep. Woke up late, rushed around getting the boys, mainly Ethan, ready. Made it to the bus stop with just a min to spare. Cleaned up breakfast thinking "man I wish I could stretch my back out.. this hurts" then sat on the couch and relaxed as my contractions were getting a little too frequent. Once they slowed down James and I headed out to the post office. On my way I thought maybe I should call the nurse and see what the difference is between back pain and back labor. The nurse was great and wanted to rule out any type of infection before making me drive all the way to Idaho Falls to be seen, so off we went to the clinic in Driggs. At this point my back was really hurting. I'm sure it didn't help that I had a 25 lb 18 mo old sleeping on my shoulder, but whats a mom to do? In the clinic my blood pressure was high 140/100 and my test came back negative for any type of infection, however it did show protein and glucose. Tess, the doctor I saw, came in and said" I'm sorry you don't have an infection, we are sending you to Idaho Falls to see your OB." How often do you hear a Dr say "Sorry you don't have an infection!" Back to the story, I call Bill and let him know what they said. He met me at home ready to head down. An hour later we were at my OB's office. The pain in my back was blaring at this point. It obviously showed on my face because one of the front staff checked me in and put us in a room. Then she went and told the nurse I looked like I was in labor so she put us in a room. HA!! The PA came in and went through all the normal stuff. Tested me again to make sure there wasn't any blood in my urine, in case of kidney stones. There wasn't, so she checked to make sure I wasn't dilating and they sent us on our way to Labor and Delivery for some meds. The Labor and Delivery nurse was awesome. The pain on the other hand was excruciating. I couldn't even stand up straight. After they got the monitors on and called my OB to see what she wanted them to do. She came back in with a shot and an IV. She said they hadn't received the orders yet but my contractions were about 4 min apart so they were giving me the meds right then. Luckily it worked and they all but went away. They let us go after I drained my IV bag and had only had 2 contractions in 1.5 hours. The pain in my back was back to what it had felt like the night before and I was able to ride home in a little more comfort. By Saturday evening I didn't have any pain in my back. For those of you that have had back labor I'm so so sorry and I empathize with you. I would never wish that upon anyone.
We go in on Thursday for the next ultrasound. I will have an update hopefully by the weekend.
Communication..
On our drive to Utah that fateful August day, we had a lot of time to think and talk about everything. Enevitably you get to a point where there isn't much to say and all you do is sit and think.
This is never good, it allows your emotions to take control and your thoughts tend to snowball out of control.
When Bill was on the phone I was struggling with this and decided to pray instead of just think. After I calmed down a bit I looked out my window and was astonished at what I saw in the sky.
Yup, that was our angel. Giving me comfort and letting me know everything was in His hands.
Isn't that incredible? I'm forever grateful for the way Heavenly Father communicates to us when we are in need.
This is never good, it allows your emotions to take control and your thoughts tend to snowball out of control.
When Bill was on the phone I was struggling with this and decided to pray instead of just think. After I calmed down a bit I looked out my window and was astonished at what I saw in the sky.
Yup, that was our angel. Giving me comfort and letting me know everything was in His hands.
Isn't that incredible? I'm forever grateful for the way Heavenly Father communicates to us when we are in need.
Faith, Prayer and Miracles
August 2, 2011
I got up early in order to make it to the 8:30 ultrasound appointment in Idaho Falls. Unfortunately Bill was unable to make it to this appointment so I asked my good friend Nancy to come with me.
The lil' guy was looking great. He was cooperating and moving just the right way in order for Leslie (the u/s tech) to get the right shots she needed too. Unfortunately that all crumbled to dust when we looked at his heart. He had fluid on the side of his heart.
When you have had 1 or more ultrasounds a week for 5 weeks now, you get pretty used to looking at your child. You know what you’re looking at and what you’re looking for. When she moved over to his heart, my heart stopped. I saw the pocket of fluid before she even said anything.
She took measurements of the pocket and stepped out to call Dr. Ball with the MFM group. When she came back in, she took more pictures and waited for Dr. Ball to call back. In the mean time I called Bill and let him know what was going on and that it looked like we would be heading to Salt Lake as soon as I got back.
Dr. Ball's instructions were exactly that, go straight to the University Hospital and see Dr. Byrne. They also prepared me that there was a good chance we would be delivering him today and even though he was small there was still a good chance of survival with the doctors and teams at the U and at Primary’s.
So instead of spending the whole day in Idaho Falls checking items off my "to do" list, Nancy and I went to Walmart for my pills and headed home.
At this point I was a little foggy in knowing what to do or calling anyone so Bill took over and started letting people know and getting things planned out.
During the drive home, our wonderful friend Cathy came over to the house and got the boys all packed up as well as my bag all packed. Which I'm sure was a feet since looking back on the phone calls I dont know that I actually gave a straight answer as to what to pack.
When I got home we were pretty much ready to go. Bryan and Cathy so generously kept Ethan for a couple days until they headed down to Utah as well.
Bill, James and I all headed down to Utah with no idea about what was going to happen when we got there. I'm pretty sure we made record time getting down there and Bills parents met us at the University Hospital so they could take James back with them.
As things would go, we got there just after the Ultrasound Center closed and Dr. Byrne had just left. Still knowing the situation, they checked us in and put us in a room where they could monitor the lil' guy. After a little bit they had a team of doctors come in with a portable ultrasound machine to see what was going on.
They started the ultrasound and I could not believe what I was seeing. Where there had been a large pocket of fluid that morning was now just a sliver of fluid that you wouldn't even see unless you knew what to look for. It almost made me second guess what we had seen that morning but I knew what I had seen and I knew the miracle that had happened.
We learned a lot about C-CAMs and C-PAM's that night. Those doctors were very knowledgeable and explained things so we understood more of what was going on. After they got done with the ultrasound they conferred with each other and decided they didn't see any reason to keep him overnight and sent us home with appointments to come back the next day.
We were in shock, we basically went down thinking we may be having this baby today and ended up leaving the hospital that night. The miracle we witnessed was just incredible. Had we been able to get down before everyone went home things could have gone very differently. A testament to the power of prayer, faith and blessings.
The next couple days were a whirlwind of ultrasounds, heart echos, Dr. appointments and information. We were able to meet Dr. Byrne, who will be the delivering Dr., and review everything with her. She shocked us both when she said her goal was to get us to 37 weeks before he would be born and that I could stay in Idaho as long as I came down to Utah every other week for an ultrasound at the U/S Center and had an ultrasound on the off weeks in Idaho Falls.
Driving home Friday was one of the best days I have had thus far. I could not believe the change in our situation from one day to the next.
We are eternally grateful for all the prayers and faith that were sent our way and to our Heavenly Father who answered those prayers and gave us miracles.
Tuesday, August 23, 2011
I promise... ;-)
I promise, at some point in the next two weeks, I will update the blog and ya'll will be sick of my posts.
We have had a very interesting last couple of weeks full of heart ache, tears, fear, blessings, peace, mercy, miracles, faith, love and prayers.
Thanks for being patient!
Thursday, July 28, 2011
Update on the lil' guy
On Monday we went to St. Marks (MFM group) and had another ultrasound. So far things are the same as before.
The CCAM is still growing at the same rate as the lil'guy is, but it is not affecting him or his growth. His est. weight is 1.7 lbs, can you believe that?
The CCAM is still growing at the same rate as the lil'guy is, but it is not affecting him or his growth. His est. weight is 1.7 lbs, can you believe that?
The only thing that is changing is the growth is starting to push on his esophagus. Which is making it more difficult to swallow amniotic fluid. He is getting enough, but that means i have excess fluid. Yes, even more than I already had. Another thing to add to the watching list.
Knowing things could be worse we are grateful for no change and more time spent at home.
Again thank you to everyone for your thoughts and prayers.
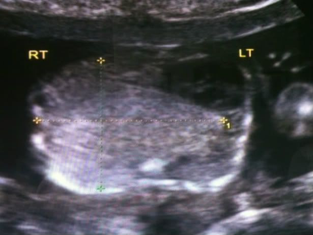
Here are some pictures from the ultrasound. I'm not one that has to have the 3D ultrasounds because really, I think they are a little creepy. However the tech turned it on while he was in a good position. Even though I still think it is a little creepy I do think it is cute, because he is mine and is inside me.


Knowing things could be worse we are grateful for no change and more time spent at home.
Again thank you to everyone for your thoughts and prayers.
Here are some pictures from the ultrasound. I'm not one that has to have the 3D ultrasounds because really, I think they are a little creepy. However the tech turned it on while he was in a good position. Even though I still think it is a little creepy I do think it is cute, because he is mine and is inside me.
Thursday, July 21, 2011
Complication
At our 20 week ultrasound they found a complication with our lil' guy.
He has a growth, known as a CCAM, on the outside of his right lung. It sits in between his lung and the ribcage.

To find out more details of what we are looking at, they sent us to the MFM of Utah at St. Marks. There we were able to get a better view of the growth and they were able to give us some scenarios for the upcoming future.
To find out more details of what we are looking at, they sent us to the MFM of Utah at St. Marks. There we were able to get a better view of the growth and they were able to give us some scenarios for the upcoming future.
Basically there are three ways for the CCAM to develop:
a. (promising and what we are all hoping for) Around 28 weeks the growth will cease to continue to grow along with him and will stay as it is until birth. After birth we would meet with a pediatric surgeon and schedule a time for it to be removed.
b. (not a good as the first but manageable) It will continue to grow at the same rate as he is, without any fluid building up around the abdomen, heart and lungs. After birth the growth will be removed so the right lung will be able to continue developing and so it will not inhibit his breathing.
c. (trying not to think about it) It will grow at a faster rate or fluid will develop putting stress on his organs, mainly his heart, and send him into heart failure. There are two options for this: they can go in and put a shunt in and drain the fluid, however it will leave pockets that will eventually fill again. second there is an in-utero surgery that can be preformed to remove the growth. Both come with high risks and lower survival rates. Both options tend to start pre-term labor and if it cannot be stopped then the baby is delivered. Both of these options usually take place around the 28 week mark so you can see the risks there.
For now the lil' guy is doing remarkable. He measures exactly where he should be. His organs, including his heart, are all functioning perfectly normal. He is more active then Ethan or James to the point where it wakes me up already. Ethan loves to feel him kicking. He puts his hand on my stomach and waits. Then laughs and laughs when he gets kicked.
So what do we do now?
We have weekly ultrasounds with the Tech at my OB office to measure, check for fluid and make sure the heart is not under stress.
We go into the MFM office whenever we can so they can see the progress.
We keep going day by day and week by week watching for the signs of distress.
We fast and pray that everything will go as it is supposed to.
We pray for strength and rely on the prayers and support of all those we love.
We are heading to Utah for the 24th and will see the Dr at MFM on the 25th. I will keep updated as much as I can.
Thank you for the prayers and support.
Friday, July 15, 2011
A moment not captured very often
Hiking Henderson Canyon
A couple weeks ago we went with the hiking group up Henderson Canyon. We knew due to the rain clouds that there was a good chance we could get rained on but wanted to go anyway.
Needless to say it poured on us. Luckily James didn't mind at all and Ethan loves playing out in the rain.



(from my iphone again, sorry)
Needless to say it poured on us. Luckily James didn't mind at all and Ethan loves playing out in the rain.
(from my iphone again, sorry)
My Garden 7-5-2011
Wednesday, July 6, 2011
Cars 2
Baby Fritsch #3
Wednesday, June 29, 2011
My three sons!!
On Thursday we went in for the 20 week ultrasound and found out we are having another lil' guy..
We didn't get any pictures but hopefully I will get some from the ultrasound tomorrow and I can post them.
In the mean time I thought ya'll would like to know!!
p.s. I also have pics from Ethan's swimming lessons that I would love to have posted this week but in all honesty it wont be until after the 4th..
We didn't get any pictures but hopefully I will get some from the ultrasound tomorrow and I can post them.
In the mean time I thought ya'll would like to know!!
p.s. I also have pics from Ethan's swimming lessons that I would love to have posted this week but in all honesty it wont be until after the 4th..
Monday, June 20, 2011
ZOORASSIC PARK
Since it had been so long for any of us, Saturday we all went to Hogle Zoo. The weather was great and when we got there we got a special treat... it was Zoorassic Park.
Needless to say Ethan was loving every bit of all the animals, the train (even though it got derailed while we were eating lunch and we weren't able to ride it), and all the dinosaurs scattered around the park.
We had a great time and enjoyed being in the warm sun.






not sure what this was all about.. All Ethan would say was he went in the cage.







Needless to say Ethan was loving every bit of all the animals, the train (even though it got derailed while we were eating lunch and we weren't able to ride it), and all the dinosaurs scattered around the park.
We had a great time and enjoyed being in the warm sun.
not sure what this was all about.. All Ethan would say was he went in the cage.
A weekend in Utah... part 1
Subscribe to:
Comments (Atom)